Kesehatan4 tahun yang lalu
Ketahui 6 Penyebab Gigi Anak Hitam Beserta Cara Mengatasinya
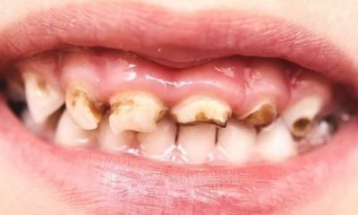
FAKTUAL-INDONESIA: Gigi anak hitam merupakan salah satu kejadian yang mengkhawatirkan orangtua. Sebab, ini bisa mengganggu penampilan sang anak karena keadaan gigi yang rusak dan berwarna kehitaman....